Vì Sao Răng Thưa? Nguyên Nhân Và Cách Khắc Phục
Răng thưa là tình trạng răng miệng khá phổ biến và bất kỳ ở độ tuổi nào. Gây ảnh hưởng đến thẩm mỹ mà còn gây khó khăn trong việc ăn nhai và vệ sinh răng miệng.
Vậy vì sao răng thưa và có cách nào khắc phục hiệu quả? Hãy cùng Nha Khoa Adent tìm hiểu chi tiết qua bài viết dưới đây nhé!
Răng thưa là gì?
Răng thưa là tình trạng khoảng cách giữa các răng bị thưa rộng hơn bình thường trên khung hàm, tạo ra những khe hở dễ nhìn thấy khi giao tiếp. Thường xuất hiện nhiều nhất ở răng cửa, nhưng cũng có thể xảy ra ở bất kỳ vị trí nào trên hàm.

Theo các bác sĩ, răng thưa không phải là tình trạng nguy hiểm nhưng nếu để kéo dài có thể gây ra nhiều vấn đề như: dễ mắc thức ăn, tăng nguy cơ sâu răng, viêm nướu, hoặc viêm nha chu.
Xem ngay << 5 Dấu Hiệu Viêm Nha Chu Gây Nguy Hiểm Không Thể Bỏ Qua >>
Vì sao răng thưa? Những nguyên nhân phổ biến
1. Yếu tố gen di truyền
Di truyền là cũng nguyên nhân phổ biến gây răng thưa. Nếu cha mẹ, hoặc người thân trong gia đình, có cấu trúc răng thưa thì khả năng cao con cái cũng gặp tình trạng tương tự.
Điều này xảy ra khi kích thước răng nhỏ hơn so với cung hàm, khiến giữa các răng xuất hiện khoảng trống.

2. Mầm răng mọc lệch hoặc bị thiếu răng
Một số trường hợp răng thưa xuất phát từ việc mầm răng mọc lệch, mọc ngầm, hoặc thiếu răng bẩm sinh. VÌ vậy, các răng không mọc đúng vị trí trên cung hàm, tạo ra khoảng trống giữa các răng.
Ngoài ra, răng khôn mọc lệch, hoặc mọc ngầm, cũng có thể gây xô lệch các răng khác và tạo khe hở.
3. Bệnh lý răng miệng
Các bệnh lý răng miệng như:
- Viêm nướu
- Viêm nha chu
- Sâu răng
- Mòn cổ chân răng
Có thể làm tiêu xương ổ răng hoặc khiến răng bị lung lay, từ đó tạo ra khoảng trống giữa các răng. Nếu không điều trị kịp thời, tình trạng này có thể khiến khe răng ngày càng rộng hơn.
4. Thói quen xấu trong sinh hoạt
Thói quen tưởng chừng vô hại, nhưng lại là nguyên nhân khiến răng bị thưa như:
- Thường xuyên dùng tăm tre xỉa răng
- Thở bằng miệng
- Đẩy lưỡi vào răng
- Nghiến răng khi ngủ
Những thói quen này tạo lực tác động lâu dài lên răng, khiến răng dịch chuyển và hình thành khoảng trống.
5. Quá trình phát triển ở trẻ
Ở trẻ nhỏ, răng thưa có thể xảy ra trong giai đoạn thay răng. Khi răng sữa rụng và răng vĩnh viễn mọc lên, khoảng cách giữa các răng có thể tạm thời xuất hiện. Trong nhiều trường hợp, khi các răng mọc đủ và cung hàm phát triển hoàn thiện, tình trạng răng thưa sẽ tự cải thiện.
Xem ngay << Nhổ Răng Sữa Cho Trẻ – Đúng Cách Và Đúng Thời Điểm >>
Răng thưa có ảnh hưởng gì không?
Mặc dù không nguy hiểm, nhưng răng thưa vẫn có thể gây ra nhiều ảnh hưởng như:
1. Ảnh hưởng đến thẩm mỹ
Khe hở giữa các răng, đặc biệt là răng cửa, dễ lộ ra khi cười hoặc nói chuyện. Điều này khiến nhiều người cảm thấy thiếu tự tin trong giao tiếp.
2. Tăng nguy cơ bệnh răng miệng
Khoảng trống giữa các răng là nơi thức ăn dễ mắc lại. Nếu không vệ sinh kỹ, vi khuẩn sẽ phát triển và gây ra sâu răng, viêm nướu hoặc viêm nha chu.
3. Ảnh hưởng đến ăn nhai và phát âm
Răng thưa có thể khiến lực nhai không đều, làm giảm hiệu quả nghiền thức ăn. Ngoài ra, một số trường hợp còn ảnh hưởng đến phát âm, đặc biệt là khi phát âm các âm gió.
Cách khắc phục răng thưa hiệu quả hiện nay
Với sự phát triển của nha khoa hiện đại, có nhiều phương pháp giúp cải thiện tình trạng răng thưa.
1. Trám răng thẩm mỹ
- Đây là phương pháp đơn giản và chi phí thấp.
- Bác sĩ sử dụng vật liệu composite có màu tương tự răng thật để lấp đầy khoảng trống giữa các răng.
- Phương pháp này phù hợp với trường hợp răng thưa nhẹ.
2. Bọc răng sứ
- Bọc răng sứ giúp cải thiện răng thưa, răng lệch nhẹ hoặc răng có hình dạng không đẹp.
- Mão sứ được thiết kế phù hợp để che phủ răng thật và điều chỉnh khoảng cách giữa các răng.
- Tuổi thọ răng sứ có thể từ 10 – 20 năm hoặc lâu hơn nếu chăm sóc tốt.

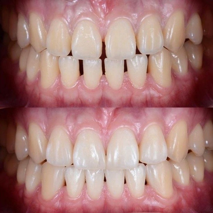
Vì Sao Răng Thưa Nguyên Nhân Và Cách Khắc Phục
3. Dán sứ Veneer
- Dán sứ Veneer là phương pháp thẩm mỹ hiện đại, chỉ cần mài rất ít răng thật.
- Lớp sứ mỏng được dán lên mặt ngoài của răng để cải thiện khe hở và hình dáng răng.

Dán Sứ Veneer
4. Niềng răng chỉnh nha
- Niềng răng là giải pháp tối ưu để điều trị răng thưa triệt để.
- Bác sĩ sử dụng mắc cài, hoặc khay niềng trong suốt để dịch chuyển răng về đúng vị trí trên cung hàm.
- Phương pháp này giúp cải thiện cả thẩm mỹ và khớp cắn lâu dài.

Vì Sao Răng Thưa Nguyên Nhân Và Cách Khắc Phục
Xem ngay << Niềng Răng Bao Nhiêu Tiền? Bảng Giá Niềng Răng Chi Tiết 2025 >>
Tại Nha Khoa Adent, đội ngũ bác sĩ giàu kinh nghiệm cùng hệ thống thiết bị hiện đại, sẽ giúp bạn đánh giá chính xác tình trạng răng và đưa ra phương án điều trị phù hợp, an toàn và thẩm mỹ.
Nếu bạn đang gặp vấn đề về răng thưa hoặc muốn cải thiện nụ cười của mình, hãy chủ động thăm khám sớm để được tư vấn chi tiết.
Thông Tin Liên Hệ – Nha Khoa Adent
- Địa chỉ: 854 Đ. Tân Kỳ Tân Quý, Bình Hưng Hoà, Hồ Chí Minh
- Số Điện Thoại: 0931 416 797
- Email: [email protected]
- Thời gian mở cửa:T2 – T6: 8:00 – 20:00, T7 – CN: 8:00 – 18:00



