7 Dấu Hiệu Tiêu Xương Răng Thường Gặp Không Nên Chủ Quan

7 Dấu Hiệu Tiêu Xương Răng (1)

7 Dấu Hiệu Tiêu Xương Răng Thường Gặp Không Nên Chủ Quan

Tiêu xương răng là tình trạng răng miệng phổ biến, nhưng nhiều người hay chủ quan và bỏ qua. Vì diễn tiến âm thầm và không gây đau rõ rệt ở giai đoạn đầu. Trên thực tế, tiêu xương răng thường xảy ra sau khi mất răng trong thời gian dài, hoặc do các bệnh lý nha chu kéo dài.
Việc nhận biết dấu hiệu tiêu xương răng kịp thời, sẽ giúp người bệnh chủ động điều trị kịp thời. Hạn chế biến chứng và duy trì thẩm mỹ khuôn mặt lâu dài.

1. Tiêu xương răng là gì?

Tiêu xương răng là hiện tượng phần xương ổ răng và xương xung quanh chân răng bị suy giảm dần về mật độ, thể tích và chiều cao.
Nguyên nhân phổ biến nhất là mất răng không được phục hình sớm, hoặc viêm nha chu mạn tính. Do quá trình tiêu xương diễn ra chậm và âm thầm, nhiều người chỉ phát hiện khi răng đã lung lay, nướu tụt nhiều hoặc khuôn mặt bắt đầu biến dạng.
Tình trạng này không chỉ ảnh hưởng đến thẩm mỹ mà còn tác động trực tiếp đến chức năng ăn nhai, phát âm và chất lượng cuộc sống. Đặc biệt, khi xương hàm tiêu nhiều, việc trồng răng về sau sẽ gặp khó khăn hơn do không đủ nền xương nâng đỡ.

2. 7 dấu hiệu tiêu xương răng thường gặp

Dưới đây là những dấu hiệu tiêu xương răng phổ biến nhất mà bạn có thể nhận biết:

2.1. Vùng xương tại vị trí mất răng bị thu hẹp

Sau khi mất răng, xương ổ răng không còn nhận lực nhai sẽ bắt đầu tiêu dần. Người bệnh có thể nhận thấy vùng sống hàm tại vị trí mất răng thấp hơn, lõm xuống hoặc hẹp lại so với các vùng xung quanh.

2.2. Xoang hàm ở răng hàm trên

Dấu hiệu này không thể quan sát bằng mắt thường mà chỉ phát hiện qua phim X-quang hoặc CT Cone Beam. Xoang hàm hạ thấp cho thấy xương hàm đã bị tiêu nhiều, thường gặp khi mất răng hàm lâu năm.

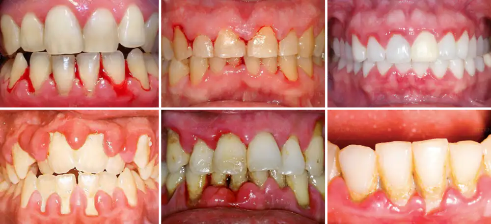
2.3. Nướu sưng đỏ, dễ chảy máu

Nướu viêm hay sưng đỏ và chảy máu khi chải răng là dấu hiệu sớm cảnh báo tiêu xương răng do viêm nha chu. Nếu không điều trị, vi khuẩn sẽ tiếp tục phá hủy mô nâng đỡ và xương quanh răng.

7 Dấu Hiệu Tiêu Xương Răng (1)
7 Dấu Hiệu Tiêu Xương Răng (1)

2.4. Nướu tụt, chân răng lộ rõ

Khi xương ổ răng tiêu đi, nướu không còn điểm tựa vững chắc và tụt xuống, khiến thân răng trông dài hơn bình thường. Đây là dấu hiệu tiêu xương răng ngay cả khi chưa mất răng.

2.5. Ê buốt chân răng

Chân răng bị lộ khiến răng nhạy cảm hơn với đồ nóng, lạnh hoặc chua ngọt. Cảm giác ê buốt kéo dài thường liên quan đến tiêu xương và tụt nướu.

2.6. Răng lung lay, đau khi nhai

Khi xương nâng đỡ không còn đủ chắc, răng sẽ yếu dần, lung lay và gây đau khi ăn nhai. Đây là dấu hiệu tiêu xương răng đã ở giai đoạn khá nghiêm trọng.

2.7. Khuôn mặt thay đổi (má hóp, trông già hơn)

Tiêu xương hàm lâu ngày khiến má hóp, da quanh miệng chảy xệ, môi mỏng và gương mặt mất cân đối. Nhiều người trông già hơn tuổi thật dù sức khỏe tổng thể vẫn bình thường.

7 Dấu Hiệu Tiêu Xương Răng (2)
7 Dấu Hiệu Tiêu Xương Răng (2)

3. Nguyên nhân gây tiêu xương răng

Tiêu xương răng có thể xuất phát từ nhiều nguyên nhân như:
  • mất răng lâu ngày không trồng lại
  • viêm nha chu
  • cao răng tích tụ
  • sử dụng hàm giả tháo lắp
  • cầu răng sứ không có chân răng giả
  • sai khớp cắn hoặc chấn thương vùng hàm.

4. Tiêu xương răng có nguy hiểm không?

Tiêu xương răng là biến chứng nguy hiểm nếu không điều trị sớm. Hậu quả có thể bao gồm mất răng hàng loạt, sai lệch khớp cắn, suy giảm khả năng ăn nhai, phát âm kém và biến dạng khuôn mặt. Càng để lâu, việc phục hồi xương và trồng răng càng phức tạp, tốn kém hơn.

5. Giải pháp ngăn ngừa tiêu xương răng hiệu quả

Hiện nay, Trồng răng Implant là phương pháp có khả năng ngăn chặn quá trình tiêu xương răng. Trụ Implant thay thế chân răng thật, giúp duy trì lực nhai sinh lý và kích thích xương hàm phát triển ổn định. Bên cạnh đó, việc vệ sinh răng miệng đúng cách, và khám răng định kỳ 6 tháng/ 1 lần, cũng đóng vai trò rất quan trọng.
Việc nhận biết sớm dấu hiệu tiêu xương răng sẽ giúp bạn bảo vệ sức khỏe răng miệng và thẩm mỹ khuôn mặt lâu dài. Khi thấy bất kỳ biểu hiện bất thường nào, bạn nên đến Nha Khoa Adent để được thăm khám, chẩn đoán chính xác và tư vấn giải pháp điều trị phù hợp, tránh để tiêu xương tiến triển nặng và khó phục hồi.

Thông Tin Liên Hệ – Nha Khoa Adent

  • Địa chỉ: 854 Đ. Tân Kỳ Tân Quý, Bình Hưng Hoà, Hồ Chí Minh
  • Số Điện Thoại: 0931 416 797
  • Email: [email protected]
  • Thời gian mở cửa: T2 – T6: 8:00 – 20:00, T7 – CN: 8:00 – 18:0
G

Call: 093 141 6797