Đ/c: 854 Tân Kỳ Tân Quý, Bình Hưng Hoà, HCM.
Thời gian làm việc: Sáng 08:00 - 11:30 ; Chiều 13:30 - 20:00
Home » Điều Trị Tủy Răng
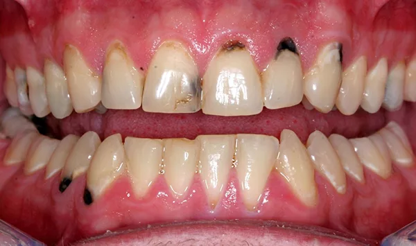
Răng Chết Tủy Là Gì? Dấu Hiệu, Nguyên Nhân Và Cách Điều Trị Tại Nha...
Call: 093 141 6797