Viêm Lợi Là Gì? Dấu Hiệu Nhận Biết Và Cách Điều Trị

Viêm Lợi Là Gì Dấu Hiệu Nhận Biết Và Cách Điều Trị

Viêm Lợi Là Gì? Dấu Hiệu Nhận Biết Và Cách Điều Trị

1. Viêm lợi là gì?

Viêm lợi hay còn gọi là viêm nướu (gingivitis) là tình trạng vi khuẩn tích tụ lâu ngày trên răng và nướu, làm cho vùng mô lợi quanh răng bị sưng viêm. Khi những mảng bám không được loại bỏ kịp thời sẽ trở thành cao răng, gây kích ứng khiến lợi bị sưng đỏ, chảy máu và gây đau nhức.

Viêm Lợi Là Gì Dấu Hiệu Nhận Biết Và Cách Điều Trị
Viêm Lợi Là Gì Dấu Hiệu Nhận Biết Và Cách Điều Trị
Vi khuẩn từ mảng bám không chỉ gây ảnh hưởng đến mô lợi, mà còn làm cho men răng suy yếu, tăng nguy cơ xảy ra tình trạng sâu răng, và các bệnh lý răng miệng khác,… Vì vậy, việc chăm sóc – vệ sinh răng miệng đúng cách rất quan trọng. Bạn nên đánh răng ít nhất 2 lần/ 1 ngày, dùng chỉ nha khoa sau khi ăn uống và khám răng định kỳ, để bảo vệ sức khỏe răng miệng.
Khi mới phát, viêm lợi thường không gây đau nhiều nên mọi người thường không quan tâm đến. Tuy nhiên, nếu không được điều trị kịp thời, sẽ tiến triển thành viêm nha chu, làm răng bị lung lay và thậm chí gây ra tình trạng mất răng.

Dieu-tri-viem-nha-chu-hieu-qua-tai-nha-khoa-adent-–-bao-ve-suc-khoe-rang-mieng-toan-dien-4
Dieu-tri-viem-nha-chu-hieu-qua-tai-nha-khoa-adent-–-bao-ve-suc-khoe-rang-mieng-toan-dien-4

2. Dấu hiệu nhận biết viêm lợi

Bạn có thể nhận biết tình trạng viêm lợi, thông qua các triệu chứng như sau:
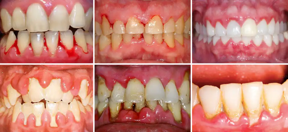
  • Lợi (nướu) bị đổi màu: thay vì hồng nhạt như bình thường, thì lợi bị đổi màu sang đỏ hoặc đỏ sẫm.
  • Lợi bị chảy máu: khi đánh răng, dùng tăm hoặc chạm nhẹ vào nướu.
  • Xuất hiện mảng bám và cao răng: xuất hiện nhiều ở kẽ răng, cổ răng hoặc dưới đường viền lợi.
  • Lợi bị sưng đau: gây cảm giác đau nhức, khó chịu và đặc biệt khi ăn uống.
  • Răng lung lay nhẹ: khi tình trạng viêm kéo dài làm cho mô lợi yếu dần.
  • Tụt lợi: Khi lợi co rút, chân răng bị lộ ra, gây ê buốt và sâu răng.
  • Hơi thở có mùi hôi: vi khuẩn tích tụ lâu ngày trong mảng bám và cao răng.
    Viêm Lợi Là Gì Dấu Hiệu Nhận Biết Và Cách Điều Trị (1)
    Viêm Lợi Là Gì Dấu Hiệu Nhận Biết Và Cách Điều Trị (1)
Nếu xuất hiện một hoặc nhiều dấu hiệu trên, bạn nên đến ngay Nha khoa Adent để được các bác sĩ thăm khám và điều trị kịp thời.

3. Nguyên nhân gây viêm lợi

Viêm Lợi Là Gì Dấu Hiệu Nhận Biết Và Cách Điều Trị
Viêm Lợi Là Gì Dấu Hiệu Nhận Biết Và Cách Điều Trị
Nguyên nhân chính gây ra tình trạng viêm lợi là vệ sinh răng miệng không đúng cách, từ đó tạo điều kiện cho vi khuẩn sinh sôi. Đồng thời, còn có một số yếu tố khác có thể làm tăng nguy cơ mắc bệnh như sau:
  • Hút thuốc lá, uống rượu bia thường xuyên.
  • Chế độ ăn uống thiếu vitamin và đặc biệt là vitamin C.
  • Ăn uống nhiều thực phẩm như: ngọt, cay nóng, hoặc quá lạnh.
  • Răng bị mọc lệch lạc, chen chúc nên khó vệ sinh.
  • Thay đổi nội tiết tố ở phụ nữ như: mang thai, đến kỳ chu kỳ, hoặc dùng thuốc tránh thai,…
  • Các bệnh lý nền như: tiểu đường, HIV/AIDS, ung thư hoặc các bệnh suy giảm miễn dịch khác,…
  • Di truyền.
  • Tình trạng khô miệng, hoặc nhiễm trùng miệng.
    Viêm Lợi Là Gì Dấu Hiệu Nhận Biết Và Cách Điều Trị
    Viêm Lợi Là Gì Dấu Hiệu Nhận Biết Và Cách Điều Trị

4. Viêm lợi có nguy hiểm không?

Viêm lợi nếu không được điều trị, có thể gây ra nhiều bệnh lý nguy hiểm như:
  • Viêm nha chu: Vi khuẩn tấn công sâu vào mô và xương nâng đỡ răng, làm cho răng bị lung lay và dễ dẫn đến mất răng.
  • Áp xe răng: Gây ra tình trạng đau nhức dữ dội, sưng mặt và nhiễm trùng lan rộng.
  • Tụt lợi nghiêm trọng: Làm lộ chân răng, tăng tình trạng ê buốt và sâu răng.
  • Ảnh hưởng sức khỏe toàn thân: Vi khuẩn từ nướu có thể tiến triển vào máu.
  • Đặc biệt, ở trẻ em viêm lợi không được điều trị kịp thời, có thể ảnh hưởng đến sự phát triển của răng vĩnh viễn và sức khỏe răng miệng lâu dài.
    Viêm Lợi Là Gì Dấu Hiệu Nhận Biết Và Cách Điều Trị
    Viêm Lợi Là Gì Dấu Hiệu Nhận Biết Và Cách Điều Trị

Tham khảo <<Khám Răng Định Kỳ Cho Trẻ – “Lá Chắn” Bảo Vệ Sức Khỏe Răng Miệng Ngay Từ Sớm>>

5. Phương pháp điều trị viêm lợi hiệu quả

Tại Nha khoa Adent, việc điều trị viêm lợi được thực hiện theo mức độ phát, đảm bảo an toàn và hiệu quả.

5.1. Cạo vôi răng và làm sạch mảng bám

Bác sĩ sẽ dùng dụng cụ chuyên dụng, hoặc công nghệ laser, để giúp loại bỏ mảng bám, cao răng quanh vùng lợi, giúp nướu hồi phục nhanh hơn.

5.2. Sử dụng nước súc miệng kháng khuẩn

Giúp giảm vi khuẩn và làm sạch khoang miệng, hỗ trợ quá trình điều trị.

5.3. Dùng thuốc điều trị

Trong trường hợp nếu cần thiết, bác sĩ sẽ kê thuốc kháng viêm, giảm đau hoặc kháng sinh. Không tự ý dùng thuốc khi chưa có chỉ định của bác sĩ.

5.4. Chăm sóc – Vệ sinh răng miệng đúng cách

  1. Đánh răng 2 lần/ 1 ngày với bàn chải lông mềm.
  2. Dùng chỉ nha khoa, hoặc tăm nước.
  3. Hạn chế thực phẩm chứa nhiều đường, và thức uống có ga.
    Viêm Lợi Là Gì Dấu Hiệu Nhận Biết Và Cách Điều Trị
    Viêm Lợi Là Gì Dấu Hiệu Nhận Biết Và Cách Điều Trị

5.5. Điều trị viêm lợi tại nhà khi mới chớm

Với viêm lợi nhẹ hoặc mới xuất hiện triệu chứng, bạn có thể chăm sóc tại nhà để giảm sưng và ngăn bệnh tiến triển với những cách sau:
  1. Vệ sinh răng miệng kỹ lưỡng
  2. Súc miệng bằng nước muối sinh lý: 2 – 3 lần/ 1 ngày, để giúp giảm viêm và kháng khuẩn.
  3. Chườm lạnh giảm sưng: bọc đá bằng khăn và chườm ngoài má vùng bị viêm khoảng 5 – 10 phút.
  4. Ăn uống lành mạnh: Bổ sung vitamin C, hạn chế đồ cay nóng, lạnh hoặc quá cứng.
  5. Tránh thói quen xấu: Không hút thuốc, rượu bia và không được xỉa răng bằng tăm nhọn.
– Lưu ý: Nếu triệu chứng không cải thiện sau khoảng 5 – 7 ngày hoặc diễn biến không tốt, hãy đến ngay Nha khoa để được thăkhám và điều trị chuyên sâu.

6. Cách phòng ngừa viêm lợi tái phát

Để ngăn ngừa tình trạng viêm lợi tái phát lại, bạn nên:
  • Vệ sinh răng miệng kỹ lưỡng và sạch sẽ sau mỗi bữa ăn.
  • Súc miệng với dung dịch sát khuẩn, vào mỗi buổi sáng và trước khi ngủ.
  • Bỏ thuốc lá và hạn chế sử dụng rượu bia.
  • Ăn uống đầy đủ dinh dưỡng, đặc biệt bổ sung vitamin C.
  • Khám răng miệng định kỳ 6 tháng/ 1 lần, để phát hiện và xử lý sớm các vấn đề răng miệng.
    Viêm Lợi Là Gì Dấu Hiệu Nhận Biết Và Cách Điều Trị
    Viêm Lợi Là Gì Dấu Hiệu Nhận Biết Và Cách Điều Trị
Adent là địa chỉ nha khoa uy tín với đội ngũ bác sĩ chuyên môn, giàu kinh nghiệm cùng trang thiết bị hiện đại, chuyên điều trị các bệnh lý về răng miệng. Nếu bạn, đang gặp các triệu chứng viêm lợi, hãy đến thăm khám ngay để được tư vấn và điều trị hiệu quả để bảo vệ sức khỏe răng miệng lâu dài.

Viêm Lợi Là Gì Dấu Hiệu Nhận Biết Và Cách Điều Trị
Feedback của khách hàng khi trải nghiệm dịch vụ tại Nha Khoa Adent

🌟 𝐍𝐡𝐚 𝐊𝐡𝐨𝐚 𝐀𝐃𝐄𝐍𝐓 – Gởi Niềm Tin, Trao Nụ Cười 🌟

☎️ Điện thoại: 0931 416 797
📌 Địa chỉ: 854 Tân Kỳ Tân Quý, P.Bình Hưng Hòa, Q.Bình Tân, HCM.
📌 Link GG Maps: https://maps.app.goo.gl/bmQdm89GzGBGfYv58
🕞 Thời gian làm việc: Thứ 2 – Chủ Nhật (8h00 – 20h00)

G

Call: 093 141 6797