Sâu Răng Là Gì? Nguyên Nhân, Dấu Hiệu, Điều Trị và Cách Phòng Ngừa

Sâu Răng Là Gì

Sâu Răng Là Gì? Nguyên Nhân, Dấu Hiệu, Điều Trị và Cách Phòng Ngừa

Sâu răng chính là một trong những tình trạng bệnh lý răng miệng phổ biến nhất. Hầu như, nó xảy ra ở mọi lứa tuổi, từ trẻ em đến người lớn, nguy cơ sâu răng vẫn luôn xuất hiện, nếu không được chăm sóc răng miệng đúng cách. Sâu răng không chỉ gây ảnh hưởng đến thẩm mỹ, mà còn gây cảm giác đau nhức, viêm nhiễm và thậm chí gây ra tình trạng mất răng nếu không điều trị kịp thời.

Sâu Răng Là Gì
Sâu Răng Là Gì
Hãy cùng Nha khoa Adent tìm hiểu chi tiết từ A – Z về tình trạng “sâu răng gồm: nguyên nhân, triệu chứng, cách điều trị và quan trọng nhất là cách phòng ngừa”, để có hàm răng khỏe mạnh và nụ cười tự tin.

1. Sâu răng là gì? Vì sao ai cũng có thể mắc phải?

Sâu răng là tình trạng phá hủy cấu trúc răng, bắt đầu từ bề mặt men răng, rồi tiến sâu vào ngà răng và tủy răng. Ban đầu, sâu răng xuất hiện những đốm trắng nhỏ nhưng dần theo thời gian, nếu không phát hiện và điều trị kịp thời, sẽ trở thành lỗ sâu gây cảm giác đau đớn và khó chịu.
Dĩ nhiên, răng không thể tự phục hồi như da hay xương. Khi đã bị sâu, thì phần răng tổn thương sẽ tồn tại vĩnh viễn và cần được bác sĩ điều trị.

Sâu Răng Là Gì
Sâu Răng Là Gì

Đối tượng dễ bị sâu răng?

  • Trẻ em và người lớn tuổi: nhóm đối tượng dễ bị mòn men răng và tụt nướu.
  • Người thường xuyên ăn vặt, đặc biệt là đồ ngọt và nước ngọt có ga.
  • Người vệ sinh răng miệng chưa đúng cách hoặc không kỹ lưỡng.
  • Người bị ảnh hưởng tác dụng phụ của thuốc.
  • Người có răng sứt, mẻ, hoặc gãy vỡ nhưng chưa được chữa trị kịp thời.
– Lưu ý: Ngay cả khi bạn nghĩ rằng “mình đã đánh răng sạch và kỹ”, những thật sự vẫn có thể còn mảng bám sót lại giữa các kẽ răng, là nguyên nhân chính dẫn đến tình trạng sâu răng.

2. Nguyên nhân gây sâu răng

Sâu răng không xuất hiện ngay lập tức mà hình thành qua nhiều giai đoạn. Nguyên nhân chính bao gồm:

Mảng bám và cao răng

Sâu Răng Là Gì
Cao (vôi) răng 
  • Khi ăn đồ ngọt, tinh bột hoặc uống nước ngọt, vi khuẩn trong miệng sẽ tích tụ với lượng đường này.
  • Chúng sản sinh ra axit và tạo thành lớp mảng bám dính trên bề mặt răng.
  • Nếu không được làm sạch kỹ lưỡng, những mảng bám ấy dần theo thời gian sẽ cứng lại tạo thành cao răng, nơi vi khuẩn trú ẩn và sinh sôi mạnh mẽ.

Axit ăn mòn men răng

Sâu Răng Là Gì
Răng bị axit ăn mòn
  • Axit từ vi khuẩn sẽ dần làm tan khoáng chất có trong men răng.
  • Khi men răng bị mòn, răng trở nên yếu, dễ bị ê buốt và sâu nhanh hơn.

Sâu răng tấn công tủy răng

Sâu Răng Là Gì
Sâu Răng tấn sâu vào tủy
Nếu không điều trị kịp thời, vi khuẩn sẽ tấn công sâu hơn vào tủy răng. Sẽ gây hậu quả:
  • Đau nhức dữ dội, lan ra cả xương hàm.
  • Nướu bị sưng đỏ, thậm chí áp xe răng.
  • Răng bị lung lay hoặc thậm chí phải nhổ bỏ.

3. Dấu hiệu nhận biết sâu răng

Đa phần, mọi người chỉ đi khám khi sâu răng đã gây ra tình trạng quá đau nhức, nhưng thực tế thì sâu răng ở giai đoạn đầu thường không gây đau. Vì vậy, hãy lưu ý những dấu hiệu sau:
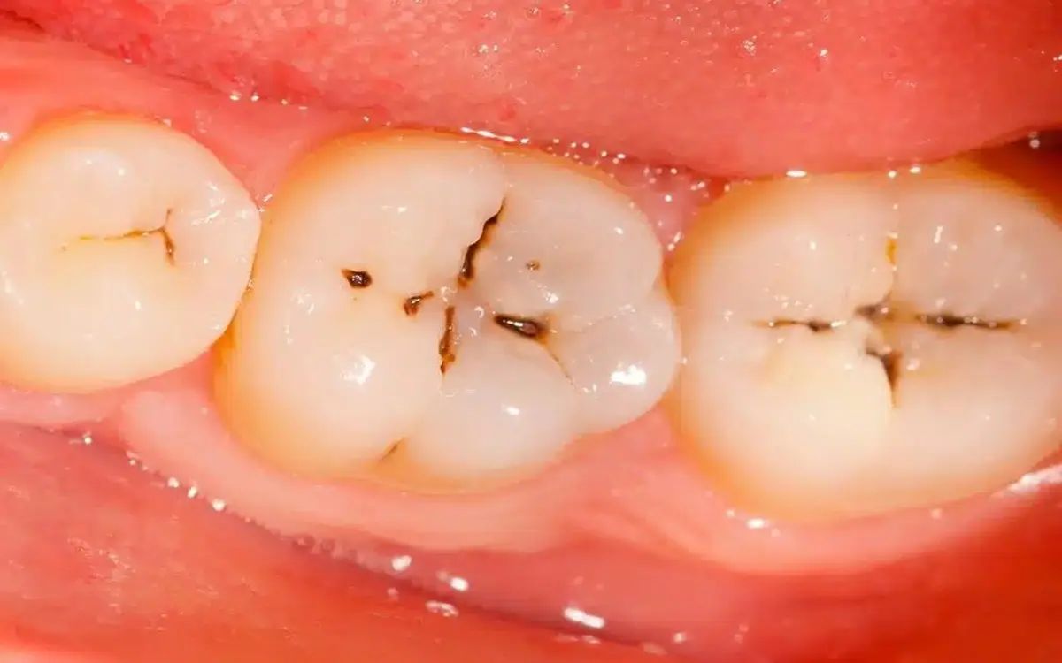
  • Xuất hiện các đốm trắng đục, hoặc vết nâu đen trên bề mặt răng.
  • Cảm giác ê buốt khi ăn đồ nóng, lạnh, ngọt, hay chua.
  • Răng có lỗ nhỏ hoặc sứt mẻ bất thường.
  • Hơi thở có mùi hôi khó chịu, dù đã vệ sinh răng miệng sạch sẽ.
  • Đau nhức quặn từng cơn, đặc biệt về đêm hoặc khi nằm xuống.
    Sâu Răng Là Gì
    Bề mặt răng xuất hiện những kẻ và và nâu sẫm
Nếu phát hiện bất kỳ dấu hiệu nào ở trên, hãy đến ngay Nha khoa để được thăm khám sớm. Việc phát hiện và điều trị kịp thời, sẽ giúp tiết kiệm chi phí, tránh nhổ bỏ răng hoặc ca thiệp điều trị phức tạp.

4. Các phương pháp điều trị sâu răng 

Tùy thuộc vào từng mức độ sâu răng, bác sĩ sẽ đưa ra phương án phù hợp:

5. Cách phòng ngừa sâu răng hiệu quả

Sâu Răng Là Gì
Sâu Răng Là Gì
“Phòng bệnh hơn chữa bệnh”. Dưới đây là những thói quen phòng ngừa sâu răng, bạn nên duy trì hằng ngày:
  • Đánh răng 2 lần/ 1 ngày, đặc biệt sau bữa ăn và trước khi ngủ.
  • Dùng kem đánh răng có chứa florua, để tăng cường men răng.
  • Sử dụng chỉ nha khoa, hoặc tăm nước, giúp làm sạch kẽ răng.
  • Hạn chế ăn vặt và thực phẩm ngọt, nhất là vào buổi tối.
  • Súc miệng với nước súc miệng kháng khuẩn, để giảm mảng bám.
  • Vệ sinh lưỡi thường xuyên.
  • Uống nhiều nước để giữ khoang miệng ẩm, và tự làm sạch tự nhiên.
  • Khám răng định kỳ, để phát hiện sớm các vấn đề răng miệng.

Tham khảo liên quan <<Khám Răng Định Kỳ Bao Lâu Một Lần?>>

6. Khám và điều trị sâu răng tại Nha khoa Adent

Nha khoa Adent tự hào là địa chỉ chăm sóc răng miệng uy tín, với đội ngũ bác sĩ giàu kinh nghiệm cùng trang thiết bị công nghệ hiện đại.

Sâu Răng Là Gì
Sâu Răng Là Gì
Cam kết mang đến cho bạn:
  • Quy trình điều trị an toàn, nhẹ nhàng và không gây đau.
  • Vật liệu trám, sứ uy tín – chính hãng, an toàn với cơ thể.
  • Không gian phòng khám sạch sẽ, vô trùng tuyệt đối.
  • Chi phí công khai – minh bạch, phù hợp với mọi khách hàng.
Đừng để sâu răng làm phiền đến bạn. Hãy đến ngay Nha khoa Adent để được thăm khám, kiểm tra và điều trị kịp thời, để có hàm răng khỏe mạnh và nụ cười tự tin!

Sâu Răng Là Gì
Sâu Răng Là Gì

Thông Tin Liên Hệ – Nha Khoa Adent

  • Địa chỉ: 854 Đ. Tân Kỳ Tân Quý, Bình Hưng Hoà, Hồ Chí Minh
  • Số Điện Thoại: 0931 416 797
  • Email: [email protected]
  • Thời gian mở cửa: T2 – T6: 8:00 – 20:00, T7 – CN: 8:00 – 18:00
G

Call: 093 141 6797