Răng Chết Tủy Là Gì? Dấu Hiệu, Nguyên Nhân Và Cách Điều Trị

Răng Chết Tủy Là Gì Dấu Hiệu, Nguyên Nhân Và Cách Điều Trị (1)

Răng Chết Tủy Là Gì? Dấu Hiệu, Nguyên Nhân Và Cách Điều Trị Tại Nha Khoa Adent

Răng chết tủy là bệnh lý răng miệng tiềm ẩn nguy hiểm, nhưng mọi người rất chủ quan không quan tâm đến vì biểu hiện thường không gây đau, hoặc chỉ đau nhẹ. Tuy nhiên, nếu không được điều trị kịp thời thì răng chết tủy có thể gây ra tình trạng như: nhiễm trùng, mất răng, và ảnh hưởng trực tiếp đến sức khoẻ.
Hãy cùng Nha khoa Adent tìm hiểu qua bài viết dưới đây để hiểu rõ về tình trạng răng chết tủy là gì? dấu hiệu nhận biết, nguyên nhân và giải pháp điều trị triệt để.

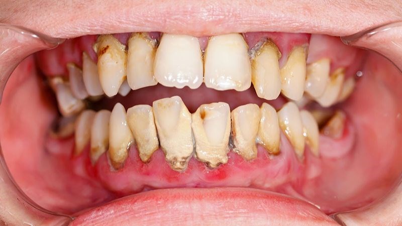
1. Răng chết tủy là gì?

Tủy răng là phần lõi nằm bên trong răng gồm: mạch máu và dây thần kinh, giúp nuôi dưỡng và duy trì sự sống của răng. Tình trạng răng chết tủy sẽ xảy ra khi tủy bị viêm nặng, bị hoại tử và không thể tự hồi phục. Vì vậy, răng sẽ không còn cảm giác như: nóng hay lạnh, không biểu hiện dấu hiệu đau và dễ bị vi khuẩn tấn công.

Răng Chết Tủy Là Gì Dấu Hiệu, Nguyên Nhân Và Cách Điều Trị (1)
Răng Chết Tủy Là Gì Dấu Hiệu, Nguyên Nhân Và Cách Điều Trị (1)
Nguyên nhân chính dẫn đến răng chết tủy là răng bị sâu kéo dài, chấn thương hoặc nhiễm trùng nha chu không được phát hiện và chữa trị đúng cách.

2. Dấu hiệu nhận biết răng chết tủy

Răng chết tủy đôi khi sẽ không có biểu hiện rõ ràng như: không gây đau vì dây thần kinh đã bị phá hủy. Tuy nhiên, bạn có thể phát hiện qua những dấu hiệu tình trạng sau:
  • Răng bị xỉn – đổi màu: từ trắng sang xám, vàng sẫm, hoặc nâu đen.
  • Bị mất cảm giác: khi ăn đồ nóng, lạnh hoặc ngọt.
  • Nướu sưng, đỏ: có thể xuất hiện mủ, hoặc áp xe nhỏ.
  • Hơi thở có mùi hôi: do mô tủy bị phân hủy bên trong.
  • Đau nhứt: khi ăn nhai, hoặc khi gõ nhẹ vào răng.
  • Đau âm ỉ kéo dài: do vi khuẩn gây viêm quanh chóp răng.
    Răng Chết Tủy Là Gì Dấu Hiệu, Nguyên Nhân Và Cách Điều Trị
    Răng Chết Tủy Là Gì Dấu Hiệu, Nguyên Nhân Và Cách Điều Trị
Nếu bạn có một hay nhiều các dấu hiệu trên, hãy đến ngay địa chỉ Nha khoa uy tín để kiểm tra và điều trị trước khi răng hư hại hoàn toàn.

3. Diễn biến tình trạng răng chết tủy

3.1. Viêm tủy có hồi phục

Phát hiện cảm giác bị ê buốt khi ăn uống thực phẩm lạnh, ngọt hoặc chua. Cơn đau thường biến mất nhanh chóng. Ở thời điểm này, tủy răng vẫn có khả năng hồi phục nếu được điều trị sớm.

3.2. Viêm tủy không hồi phục

Cơn đau nhứt kéo dài, âm ỉ, hoặc nhói buốt khi ăn uống nóng, lạnh hoặc chua. Đây là giai đoạn tủy đã bị tổn thương nặng, cần phải can thiệp điều trị lập tức.

3.3. Hoại tử & Chết tủy

Răng Chết Tủy Là Gì Dấu Hiệu, Nguyên Nhân Và Cách Điều Trị

Lúc này, tủy đã bị vi khuẩn phá hủy hoàn toàn. Và gần như không còn cảm giác, nhưng nướu có thể bị sưng hoặc có mủ. Đây là giai đoạn dễ dẫn đến biến chứng nặng nếu không được điều trị.

4. Nguyên nhân phổ biến khiến răng chết tủy

4.1. Sâu răng nặng

Vi khuẩn phá hủy lớp men và ngà răng, lấm chiếm sâu vào buồng tủy, gây ra tình trạng viêm nhiễm và dẫn đến hoại tử tủy răng.

Sâu Răng Là Gì
Sâu Răng Là Gì

4.2. Nhiễm trùng nướu & viêm nha chu

Vi khuẩn từ nướu lan xuống chân răng và vào tủy, gây viêm tủy và chết tủy.

Răng Chết Tủy Là Gì Dấu Hiệu, Nguyên Nhân Và Cách Điều Trị
Răng Chết Tủy Là Gì Dấu Hiệu, Nguyên Nhân Và Cách Điều Trị

4.3. Chấn thương răng

Tai nạn, té ngã, hoặc va đập mạnh, có thể làm đứt dây thần kinh và nguồn máu nuôi tủy, khiến tủy chết dần theo thời gian.

5. Cách điều trị răng chết tủy tại Nha khoa Adent

Tùy vào từng mức độ hư tổn của răng, sẽ có 2 phương pháp điều trị sau:

5.1. Điều trị nội nha (rút tủy) và phục hồi răng

Bác sĩ sẽ áp dụng khi cấu trúc răng còn nguyên vẹn. Quy trình gồm:
  • Loại bỏ tủy bị hoại tử
  • Làm sạch ống tủy bằng thiết bị chuyên dụng
  • Trám bít kín ống tủy
  • Trám răng hoặc bọc sứ để phục hồi thẩm mỹ và chức năng ăn nhai
  • Phương pháp này giúp giữ lại răng thật tối đa.
    Răng Chết Tủy Là Gì Dấu Hiệu, Nguyên Nhân Và Cách Điều Trị
    Răng Chết Tủy Là Gì Dấu Hiệu, Nguyên Nhân Và Cách Điều Trị

5.2. Nhổ răng và trồng răng mới

Nếu răng chết tủy đã hư tổn quá nặng, hoặc nhiễm trùng lan rộng, bác sĩ có thể sẽ chỉ định nhổ răng để tránh gay ra biến chứng. Sau đó, phục hình bằng phương pháp:
  • Cấy ghép Implant:  giải pháp bền, đẹp và chắc như răng thật
  • Cầu răng sứ – phù hợp trong trường hợp không thể trồng implant
    Răng Chết Tủy Là Gì Dấu Hiệu, Nguyên Nhân Và Cách Điều Trị
    Răng Chết Tủy Là Gì Dấu Hiệu, Nguyên Nhân Và Cách Điều Trị

6. Cách phòng ngừa răng chết tủy

  • Đánh răng 2 lần/ 1ngày kết hợp với kem đánh răng chứa fluoride.
  • Dùng chỉ nha khoa, hoặc tăm nước để làm sạch kẽ răng.
  • Khám răng định kỳ 6 tháng/ 1 lần, để phát hiện sớm các tình trạng như: sâu răng hoặc viêm nướu.
  • Hạn chế đồ thực phẩm quá ngọt hay quá lạnh. Tăng cường các thực phẩm giàu vitamin và khoáng chất.
    Hướng Dẫn Vệ Sinh Răng Miệng Đúng Cách
    Hướng Dẫn Vệ Sinh Răng Miệng Đúng Cách
Nếu bạn phát hiện mình có dấu hiệu như trong bài viết trên, hãy đến ngay Nha khoa Adent để được các bác sĩ thăm khám, kiểm tra, và điều trị kịp thời.

Thông Tin Liên Hệ – Nha Khoa Adent

  • Địa chỉ: 854 Đ. Tân Kỳ Tân Quý, Bình Hưng Hoà, Hồ Chí Minh
  • Số Điện Thoại: 0931 416 797
  • Email: [email protected]
  • Thời gian mở cửa: T2 – T6: 8:00 – 20:00, T7 – CN: 8:00 – 18:00
G

Call: 093 141 6797