VỆ SINH RĂNG MIỆNG ĐỊNH KỲ – GIẢI PHÁP NGĂN NGỪA BỆNH LÝ RĂNG MIỆNG 

VỆ Sinh RĂng MiỆng ĐỊnh KỲ (4)

VỆ SINH RĂNG MIỆNG ĐỊNH KỲ – GIẢI PHÁP NGĂN NGỪA BỆNH LÝ RĂNG MIỆNG 

Nhiều người đang nghĩ rằng:” chỉ cần đánh răng mỗi ngày là đủ để giữ cho răng miệng luôn sạch sẽ?”. Thực tế, việc chăm sóc răng miệng tại nhà chỉ loại bỏ được một phần mảng bám, trong khi những tác nhân gây hại vẫn âm thầm tích tụ theo thời gian. Vì vậy, đây chính là lý do vì sao vệ sinh răng định kỳ tại nha khoa trở thành bước chăm sóc không thể thiếu nếu bạn muốn có một hàm răng khỏe mạnh lâu dài.
Tại Nha khoa Adent, khuyến cáo mọi người nên duy trì thói quen vệ sinh răng miệng định kỳ từ 3 đến 6 tháng/1 lần, để đảm bảo loại bỏ hoàn toàn các mảng bám cứng đầu và kiểm soát tốt các vấn đề răng miệng.

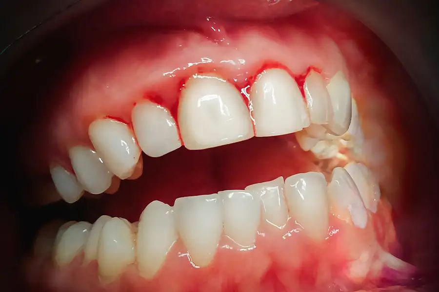
1. Ngăn ngừa bệnh nướu

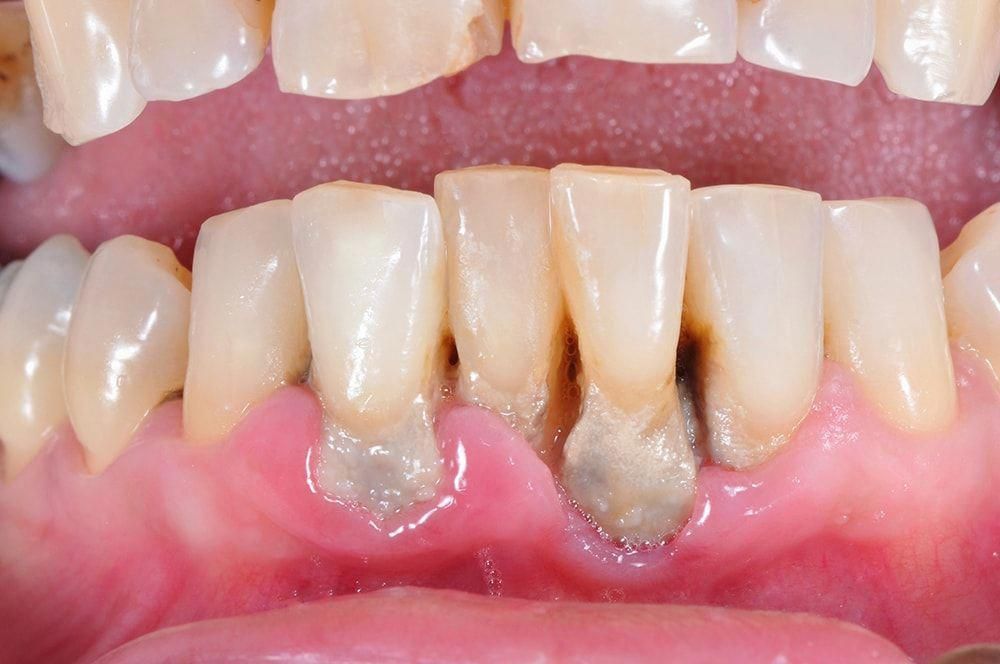
Cao răng chính là “kẻ thù thầm lặng”, mà nhiều người thường hay bỏ qua. Đây là nơi tích tụ vi khuẩn gây ra các tình trạng như: viêm nướu, chảy máu chân răng, thậm chí dẫn đến tụt lợi. Nếu không phát hiện và xử lý kịp thời, tình trạng này có thể tiến triển thành viêm nha chu, nguyên nhân hàng đầu gây mất răng ở người trưởng thành.

VỆ Sinh RĂng MiỆng ĐỊnh KỲ (3)
VỆ Sinh RĂng MiỆng ĐỊnh KỲ (3)
Việc vệ sinh răng định kỳ giúp loại bỏ hoàn toàn cao răng ở cả những vị trí mà bàn chải không thể tiếp cận, từ đó ngăn chặn các bệnh lý nguy hiểm ngay từ giai đoạn sớm.

2. Triệt để tình trạng hôi miệng

Khoảng 80% nguyên nhân gây hôi miệng, đến từ vi khuẩn tồn tại trong mảng bám và cao răng. Dù bạn có đánh răng, hay dùng nước súc miệng thường xuyên thì những vùng tích tụ vi khuẩn lâu ngày vẫn không thể được làm sạch hoàn toàn.

VỆ Sinh RĂng MiỆng ĐỊnh KỲ (2)
VỆ Sinh RĂng MiỆng ĐỊnh KỲ (2)
Vệ sinh răng định kỳ tại Nha khoa Adent giúp làm sạch sâu khoang miệng, loại bỏ vi khuẩn gây mùi. Từ đó, mang lại hơi thở thơm mát và sự tự tin trong giao tiếp hàng ngày.

3. Phòng tránh bệnh lý răng miệng

Lợi ích quan trọng nhưng thường bị bỏ qua của việc vệ sinh răng định kỳ chính là:” khả năng phát hiện sớm các bệnh lý”. Trong quá trình làm sạch răng, nha sĩ có thể nhận ra những dấu hiệu bất thường như: sâu răng, răng nứt, mòn men, hoặc các vấn đề về nướu.
VỆ Sinh RĂng MiỆng ĐỊnh KỲ (1)
VỆ Sinh RĂng MiỆng ĐỊnh KỲ (1)
Việc phát hiện sớm, giúp bạn điều trị kịp thời với chi phí thấp hơn rất nhiều so với khi bệnh đã tiến triển nặng. Đây cũng là cách giúp bạn tránh được những cơn đau nhức, khó chịu và các can thiệp phức tạp sau này.

4. Cải thiện thẩm mỹ 

Sau khi, loại bỏ các mảng bám và vết ố do thực phẩm, cà phê hay thuốc lá. Răng của bạn sẽ trở nên sáng hơn một cách tự nhiên. Dù không phải là phương pháp tẩy trắng, nhưng vệ sinh răng định kỳ vẫn giúp cải thiện đáng kể vẻ ngoài của hàm răng, mang lại nụ cười tươi tắn và tự tin hơn.

5. Bao lâu nên vệ sinh răng miệng định kỳ 1 lần?

Bạn nên thực hiện vệ sinh răng định kỳ từ 3 – 6 tháng/ 1 lần. Tuy nhiên, với những người có nguy cơ cao như hút thuốc, dễ tích tụ cao răng hoặc đang gặp vấn đề về nướu, thì có thể rút ngắn hơn theo chỉ định của bác sĩ.

Vệ sinh răng định kỳ không chỉ là một bước làm sạch đơn giản, mà còn là giải pháp toàn diện giúp bảo vệ sức khỏe răng miệng, phòng ngừa bệnh lý và duy trì nụ cười tự tin. Đừng đợi đến khi răng đau, hay nướu viêm mới bắt đầu quan tâm, hãy chủ động chăm sóc ngay từ hôm nay!

VỆ Sinh RĂng MiỆng ĐỊnh KỲ (4)
VỆ Sinh RĂng MiỆng ĐỊnh KỲ (4)
Nếu bạn đang tìm kiếm một địa chỉ uy tín, an toàn và nhẹ nhàng thì Nha khoa Adent luôn sẵn sàng đồng hành cùng bạn trên hành trình chăm sóc nụ cười khỏe đẹp lâu dài.

Thông Tin Liên Hệ – Nha Khoa Adent

  • Địa chỉ: 854 Đ. Tân Kỳ Tân Quý, Bình Hưng Hoà, Hồ Chí Minh
  • Số Điện Thoại: 0931 416 797
  • Email: [email protected]
  • Thời gian mở cửa:T2 – T6: 8:00 – 20:00, T7 – CN: 8:00 – 18:00
G

Call: 093 141 6797