Dấu Hiệu Mòn Men Răng Và Cách Bảo Vệ Răng Hiệu Quả Tại Nha Khoa Adent
Mòn men răng là một trong những tình trạng răng miệng phổ biến, nhưng lại thường bị bỏ qua ở giai đoạn đầu. Khi lớp men là lá chắn để bảo vệ bên ngoài của răng khi bị bào mòn, răng sẽ trở nên nhạy cảm, yếu hơn và dễ gặp nhiều biến chứng như sâu răng hay viêm tủy.
Vậy làm sao để nhận biết sớm tình trạng mòn men răng? Hãy cùng Nha Khoa Adent sẽ giúp bạn hiểu rõ dấu hiệu, nguyên nhân và cách xử lý hiệu quả!
Dấu hiệu nhận biết mòn men răng
Việc phát hiện sớm tình trạng mòn men răng đóng vai trò rất quan trọng, trong việc bảo tồn răng thật. Dưới đây là những dấu hiệu bạn không nên bỏ qua:
1. Răng bị ê buốt, nhạy cảm
Đây là dấu hiệu dễ nhận thấy nhất. Khi lớp men bị mòn, lớp ngà răng bên trong sẽ bị lộ ra khiến răng trở nên nhạy cảm hơn. Cảm thấy ê buốt khi ăn uống đồ nóng, lạnh, chua, hoặc ngọt. Cảm giác này có thể thoáng qua, hoặc kéo dài tùy mức độ mòn men.
2. Thay đổi màu sắc răng
Men răng có màu trắng trong, trong khi ngà răng bên dưới có màu vàng nhạt. Khi men bị bào mòn, răng sẽ dần chuyển sang màu vàng hơn và kém thẩm mỹ. Đây chính là lý do dù vệ sinh răng miệng tốt, nhưng răng vẫn không trắng sáng.
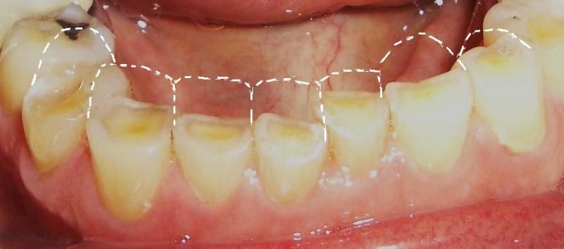
3. Hình dáng răng thay đổi
Mòn men răng lâu ngày có thể làm răng bị biến dạng như:
- Góc cạnh răng bị sứt mẻ, hoặc mỏng đi
- Bề mặt nhai xuất hiện các vết lõm nhỏ
- Răng không đều và dễ vỡ hơn

Dấu Hiệu Mòn Men Răng
Những thay đổi này, không chỉ ảnh hưởng đến thẩm mỹ mà còn làm giảm chức năng ăn nhai.
4. Tăng nguy cơ sâu răng
Khi men răng bị tổn thương, bề mặt răng trở nên thô ráp sẽ tạo điều kiện cho mảng bám và vi khuẩn tích tụ. Điều này khiến nguy cơ xảy ra tình trạng sâu răng tăng lên nhanh chóng nếu không được chăm sóc đúng cách.
Nguyên nhân gây mòn men răng
Hiểu rõ nguyên nhân, sẽ giúp bạn phòng ngừa hiệu quả hơn. Một số nguyên nhân phổ biến bao gồm:
- Chế độ ăn uống nhiều axit: Nước ngọt có gas, đồ chua, đồ uống có cồn,…
- Đánh răng không đúng cách: Dùng lực quá mạnh, hoặc bàn chải cứng
- Nghiến răng khi ngủ: Làm men răng bị mài mòn dần theo thời gian
- Trào ngược dạ dày: Axit từ dạ dày ảnh hưởng trực tiếp đến men răng
- Vệ sinh răng miệng không kỹ: Tạo điều kiện cho vi khuẩn phát triển
Cách khắc phục và phòng ngừa mòn men răng
Tại Nha Khoa Adent, việc điều trị mòn men răng sẽ tùy thuộc vào mức độ tổn thương. Một số giải pháp như:
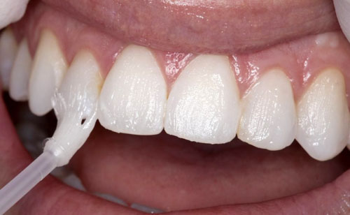
1. Tái khoáng men răng

Áp dụng cho tình trạng nhẹ, giúp phục hồi phần men bị tổn thương và giảm ê buốt.
2. Trám răng thẩm mỹ

Dùng vật liệu chuyên dụng để che phủ vùng men bị mòn và bảo vệ răng khỏi vi khuẩn.
3. Bọc răng sứ

Áp dụng cho tình trạng nặng, giúp phục hồi hình dáng và chức năng răng tối ưu.
Mòn men răng không chỉ gây ảnh hưởng đến thẩm mỹ, mà còn tiềm ẩn nhiều nguy cơ cho sức khỏe răng miệng. Việc nhận biết sớm các dấu hiệu sẽ giúp bạn có hướng xử lý kịp thời.
Nếu bạn đang gặp phải những dấu hiệu trên, đừng ngần ngại liên hệ Nha Khoa Adent để được tư vấn và điều trị chuyên sâu, bảo vệ nụ cười khỏe đẹp lâu dài!
𝐍𝐡𝐚 𝐊𝐡𝐨𝐚 𝐀𝐃𝐄𝐍𝐓 – Gởi Niềm Tin, Trao Nụ Cười 
Điện thoại: 0931 416 797
Địa chỉ: 854 Tân Kỳ Tân Quý, Phường Bình Hưng, TP. HCM.
Link GG Maps: https://maps.app.goo.gl/bmQdm89GzGBGfYv58
Thời gian làm việc: Thứ 2 – Chủ Nhật (8h00 – 20h00)



