Viêm Tủy Răng Có Nguy Hiểm Không? Nguyên Nhân Và Cách Điều Trị Dứt Điểm
Viêm tủy răng là một trong những nguyên nhân gây ra ăn uống trở nên khó chịu và đau đớn. Nếu như, không được điều trị kịp thời thì bệnh lý này có thể dẫn đến hoại tử tủy, và gây mất răng vĩnh viễn.
Vậy viêm tủy răng là gì? Và điều trị như thế nào? Hãy cùng Nha khoa Adent – địa chỉ nha khoa uy tín Thủ Đức tìm hiểu chi tiết.
1. Viêm Tủy Răng Là Gì?
Tủy răng là phần nằm sâu bên trong thân răng chứa các mạch máu, dây thần kinh, và mô liên kết giúp nuôi dưỡng răng. Khi tủy răng bị viêm thì người bệnh sẽ cảm thấy đau nhức, sưng đỏ và ê buốt kéo dài.

Nguyên nhân gây ra tình trạng viêm tủy răng là do vi khuẩn từ sâu răng xâm nhập vào tủy thông qua lỗ sâu răng hoặc bị tổn thương.
2. Dấu Hiệu Và Các Giai Đoạn Của Viêm Tủy Răng
Tình trạng viêm tủy răng được chia làm 3 mức độ chính với các biểu hiện khác nhau sau:
2.1. Giai Đoạn 1: Viêm tủy có thể phục hồi:
- Cảm giác đau nhói hay ê buốt nhẹ khi ăn uống.
- Nhạy cảm với các thực phẩm nóng, lạnh, chua hay ngọt.

Viêm Tủy Răng Có Nguy Hiểm Không
2.2. Giai Đoạn 2: Viêm tủy không thể phục hồi:
- Cơn đau trở nên kéo dài và dữ dội.
- Xuất hiện lỗ sâu rõ rệt, răng ê buốt nghiêm trọng.
- Có thể thấy lỗ tủy lộ ra và tủy xuất hiện các khối mô đỏ, vàng.
- Có biểu hiện: sốt, hạch nổi, hôi miệng và vị đắng trong miệng.
2.3. Giai Đoạn 3: Tủy bị hoại tử:
- Răng trở nên lung lay, ổ xương bị tiêu biến.
- Răng có nguy cơ rụng hoặc bị tách khỏi nướu.

Viêm Tủy Răng Có Nguy Hiểm Không
3. Hậu Quả Khi Không Điều Trị Viêm Tủy Răng
- Bị nhạy cảm khi ăn uống: Người bệnh dễ bị kích ứng khi dùng các thực phẩm nóng, lạnh, chua hay ngọt. Cơn ê buốt có thể kéo dài nhiều giờ sau khi ăn.
- Nguy cơ mất răng: Khi ở giai đoạn nặng, răng không còn khả năng giữ. Mất răng gây ảnh hưởng đến thẩm mỹ và suy giảm chức năng ăn nhai, đặc biệt nếu bị mất răng hàm.
- Sức khỏe bị suy giảm: Cơn đau kéo dài gây nên mất ngủ, chán ăn. Ảnh hưởng đến thể trạng và sức đề kháng, đặc biệt là ở người lớn tuổi.
Xem ngay << Dấu Hiệu Viêm Tủy Răng – Nhận Biết Sớm Để Không Hối Hận >>
4. Nguyên Nhân Gây Nên Viêm Tủy Răng
4.1. Ăn uống không lành mạnh:
Sử dụng quá nhiều đồ ngọt, nước ngọt có gas, thực phẩm có tính axit làm mòn men răng vì vậy đã tạo điều kiện cho vi khuẩn tấn công.
4.2. Tác động chấn thương:
Chấn thương vùng miệng sẽ khiến tủy bị lộ ra ngoài. Nếu như không xử lý sớm, vi khuẩn sẽ dễ dàng xâm nhập gây viêm tủy.
4.3. Thói quen nghiến răng:
Nghiến răng khi ngủ hay lúc căng thẳng dễ khiến răng bị mòn men nhanh chóng, làm suy yếu cấu trúc răng và dễ bị viêm tủy.
4.4. Không quan tâm đến vệ sinh răng miệng:
Khi không đánh răng đều đặn hay đánh sai cách, không dùng chỉ nha khoa, không kiêm tra nha định kỳ là một trong những yếu tố làm gia tăng nguy cơ viêm tủy.
5. Cách Điều Trị Viêm Tủy Răng An Toàn Và Dứt Điểm
Điều trị viêm tủy răng cần được tiến hành nhanh chóng, và đúng cách để tránh gây ra những biến chứng nghiêm trọng như: nhiễm trùng lan rộng, áp xe chân răng, tiêu xương hàm, và mất răng vĩnh viễn.
Xem ngay << Mất Răng Có Nguy Hiểm Không? Hậu Quả Và Giải Pháp Điều Trị >>
Tại Nha khoa Adent, một địa chỉ chỉnh nha uy tín tại TP.HCM, khách hàng sẽ được thăm khám kỹ lưỡng và lên phác đồ điều trị cá nhân hóa tùy theo từng mức độ bệnh lý.
5.1. Viêm tủy có thể phục hồi
Khi viêm tủy còn ở mức độ nhẹ, chưa ảnh hưởng đến cấu trúc sâu bên trong của răng, bác sĩ sẽ thực hiện các bước điều trị như sau:
- Làm sạch vùng sâu răng và tiến hành xử lý ổ viêm để ngăn vi khuẩn tiếp tục xâm nhập vào buồng tủy.
- Trám bít lỗ sâu bằng vật liệu sinh học an toàn, nhằm phục hồi hình dáng và chức năng răng.
- Bệnh nhân sẽ được hướng dẫn chăm sóc răng miệng kỹ lưỡng để hạn chế tái phát.

Viêm Tủy Răng Có Nguy Hiểm Không
Việc can thiệp sớm ở giai đoạn này, không chỉ giúp giữ lại tủy răng sống khỏe mạnh. mà còn tiết kiệm chi phí và tránh gây đau đớn về sau.
5.2. Viêm tủy không phục hồi
Khi tình trạng viêm đã lan sâu vào buồng tủy, gây ra đau nhức dữ dội, và tủy bắt đầu bị hoại tử một phần, thì bác sĩ sẽ chỉ định điều trị tủy theo quy trình chuyên sâu:
- Sử dụng thiết bị để mở buồng tủy và lấy sạch phần tủy viêm hay hoại tử.
- Vệ sinh sạch hệ thống ống tủy bằng dung dịch sát khuẩn chuyên dụng kết hợp máy nội nha, hỗ trợ xoay tròn linh hoạt.
- Trám bít tủy bằng vật liệu Gutta-percha kết hợp xi măng nha khoa, đảm bảo vô khuẩn và kín hoàn toàn.
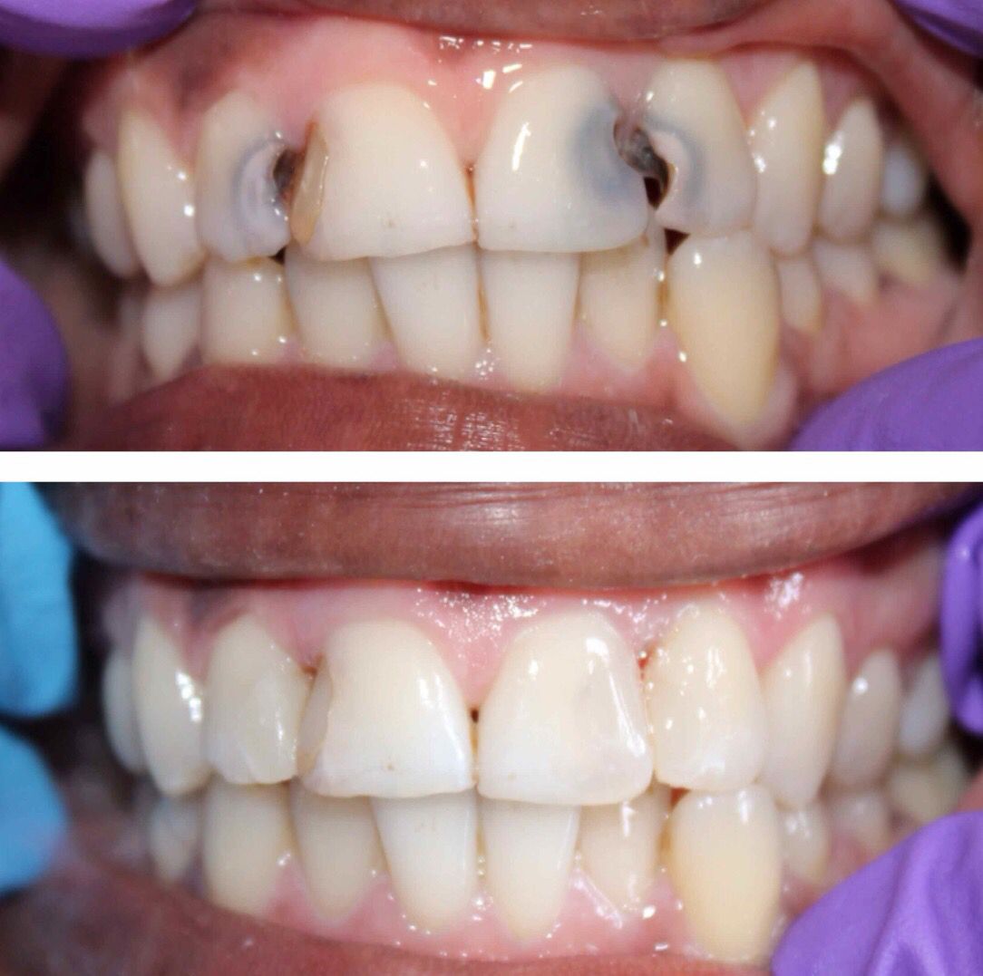
- Tùy vào mức độ bị tổn thương, răng sau khi điều trị có thể được bọc răng sứ, nhằm bảo vệ răng thật khỏi gãy vỡ sau này.
Điều trị tủy ở giai đoạn này, sẽ giúp ngăn ngừa nhiễm trùng lan rộng, giảm đau và giữ răng thật tối đa.
5.3. Viêm tủy hoại tử – Nhiễm trùng lan rộng
Nếu như viêm tủy đã tiến triển đến giai đoạn hoại tử hoàn toàn, răng lung lay và ổ viêm lan ra chóp chân răng gây áp xe, bác sĩ sẽ đánh giá kỹ để chọn phương án phù hợp:
5.3.1. Trường hợp có thể giữ răng:
- Tiến hành điều trị nội nha kết hợp với cắt chóp để loại bỏ phần nhiễm trùng quanh chóp răng.
- Sau đó, bọc răng sứ toàn phần để nhằm phục hồi thẩm mỹ, và chức năng ăn nhai.
5.3.2. Trường hợp không thể giữ răng:
- Nếu như răng lung lay nghiêm trọng, mất mô nâng đỡ, và nhiễm trùng diện rộng thì bác sĩ sẽ chỉ định nhổ răng.
- Sau khi mô nướu và xương lành, bệnh nhân sẽ được tư vấn trồng Implant nha khoa để phục hồi chân răng đã mất, tránh tiêu xương hàm và đảm bảo khả năng ăn nhai lâu dài.

Viêm Tủy Răng Có Nguy Hiểm Không
6. Ưu điểm khi điều trị viêm tủy răng tại Nha khoa Adent
- Hệ thống máy móc hiện đại: Máy X-quang kỹ thuật số, máy nội nha giúp điều trị, máy định vị chóp chính xác, nhanh chóng và không gây đau.
- Đội ngũ bác sĩ giỏi giàu kinh nghiệm và chuyên môn trong điều trị các bệnh lý nha khoa phức tạp.
- Phác đồ điều trị cá nhân hóa theo từng khách hàng để đảm bảo hiệu quả, và an toàn tối đa.
- Vật liệu nha khoa uy tín, an toàn tuyệt đối.
- Cam kết giữ răng thật tối đa, không điều trị quá mức và hạn chế nhổ răng không cần thiết.

Viêm Tủy Răng Có Nguy Hiểm Không
Thông Tin Liên Hệ – Nha Khoa Adent
- Địa chỉ: 854 Đ. Tân Kỳ Tân Quý, Bình Hưng Hoà, Hồ Chí Minh
- Số Điện Thoại: 0931 416 797
- Email: [email protected]
- Thời gian mở cửa:T2 – T6: 8:00 – 20:00, T7 – CN: 8:00 – 18:00




