Phủ Răng Sứ Nano Là Gì? Có Nên Lựa Chọn Không?

Phủ Răng Sứ Nano Là Gì Có Nên Lựa Chọn Không

Phủ Răng Sứ Nano Là Gì? Có Nên Lựa Chọn Không?

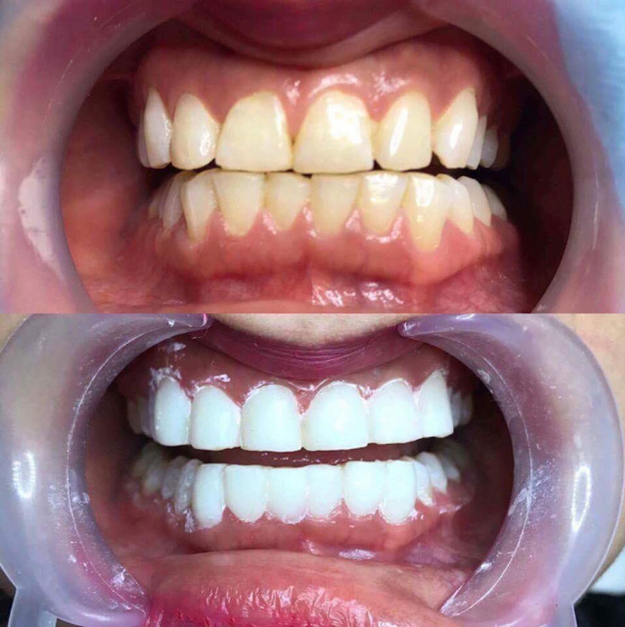
Gần đây, phủ răng sứ nano đang trở thành xu hướng thẩm mỹ nha khoa, được nhiều người ưa chuộng và lựa chọn. Công nghệ này giúp cải thiện nhanh chóng các khuyết điểm về tình trạng răng như: xỉn màu, nứt mẻ, răng thưa,giúp mang lại hàm răng trắng sáng và đều đẹp.
Vậy công nghệ phủ răng sứ nano là gì? Hãy cùng Nha khoa Adent tìm hiểu chi tiết qua bài viết dưới đây!.

1. Phủ răng sứ nano là gì?

Phủ Răng Sứ Nano Là Gì Có Nên Lựa Chọn Không
Phủ Răng Sứ Nano Là Gì Có Nên Lựa Chọn Không
Phủ sứ nano là phương pháp thẩm mỹ trong nha khoa, sử dụng lớp sứ siêu mỏng có độ dày từ khoảng 0,3 đến 0,5 mm, để dán trực tiếp lên bề mặt răng. Lớp phủ này giúp che đi những khuyết điểm của răng như:
  • Răng xỉn màu, ố vàng.
  • Răng bị sứt mẻ nhẹ và bị mòn men răng.
  • Răng thưa kẽ nhỏ, hoặc bề mặt răng không đồng đều.
Về bản chất, phủ răng sứ nano sẽ tương tựa với dán sứ veneer, tuy nhiên sẽ có độ mỏng hơn và quy trình đơn giản hơn. Phương pháp này hạn chế tình trạng mài răng, ít xâm lấn mô răng thật và đồng thời mang đến hiệu quả thẩm mỹ nhanh chóng.
Dán Sứ Veneer
Dán Sứ Veneer

2. Phủ răng sứ nano giá bao nhiêu?

Hiện nay, giá phủ sứ nano thường dao động khoảng 3.000.000 đến 5.000.000 VNĐ/răng, mức giá sẽ tùy thuộc vào từng nha khoa và chất liệu sứ sử dụng.
Tuy nhiên, trên thị trường có nhiều cơ sở nha khoa quảng cáo với giá chỉ vài triệu đồng cho cả hàm, kèm theo các ưu đãi giảm giá “khủng”. Mặc dù nghe có có vẻ hấp dẫn và thu hút nhưng mức giá quá rẻ thí sẽ thường tiềm ẩn rủi ro như:
  • Chất lượng vật liệu không đảm bảo, dễ bị đổi màu, hay bong tróc sau thời gian ngắn sử dụng.
  • Quy trình thực hiện không an toàn, gây nguy cơ viêm nhiễm nướu, và các bệnh lý răng miệng khác,…
  • Tay nghề bác sĩ kém hoặc không có bằng cấp chuyên môn, sẽ làm ảnh hưởng đến răng thật, gây ra tình trạng như: răng yếu đi, đau nhức, hoặc ê buốt kéo dài.
Lời khuyên từ Nha khoa Adent:
Hãy lựa chọn địa chỉ nha khoa uy tín, có đội ngũ bác sĩ giàu kinh nghiệm – tay nghề, và sử dụng vật liệu sứ chính hãng, để đảm bảo hiệu quả và độ an toàn.

3. Ưu và nhược điểm của phủ răng sứ nano

Ưu điểm:

  • Thẩm mỹ răng được cải thiện nhanh chóng
  • Không cần mài nhiều mô răng thật, vẫn đảm bảo cấu trúc răng tự nhiên.
  • Thời gian thực hiện nhanh: Chỉ sau khoảng 1 – 2 buổi, đã có thể tự tin nở nụ cười rạng rỡ..
  • Tùy chỉnh linh hoạt: Màu sắc và hình dáng răng sứ, có thể điều chỉnh theo mong muốn của khách hàng.
    Phủ Răng Sứ Nano Là Gì Có Nên Lựa Chọn Không
    Phủ Răng Sứ Nano Là Gì Có Nên Lựa Chọn Không

Nhược điểm:

  • Độ bền không cao: Tuổi thọ thường chỉ từ 1 đến 2 năm, dễ bong tróc, hoặc hư hỏng nếu không được chăm sóc đúng cách.
  • Không phù hợp cho các tình trạng phức tạp như: răng hô – móm, lệch lạc nhiều, hoặc răng bị xỉn màu nặng.
  • Dễ sứt mẻ: bởi vì lớp sứ khá mỏng, độ cứng không cao nên cần hạn chế cắn, nhai thức ăn cứng.

4. Có nên phủ răng sứ nano không?

Việc có nên lựa chọn phủ sứ nano hay không? Sẽ phụ thuộc vào nhu cầu thẩm mỹ, và khả năng tài chính của mỗi người.
Nếu bạn muốn tìm kiếm giải pháp nhanh chóng, chi phí vừa phải và chỉ cần cải thiện những khuyết điểm nhỏ, thì phủ sứ nano sẽ là lựa chọn tạm thời.
Tuy nhiên, nếu bạn mong muốn có hàm răng bền đẹp và đảm bảo thẩm mỹ lâu dài, bạn nên cân nhắc đến các phương pháp cao cấp hơn như: dán sứ Veneer hoặc bọc răng sứ.

5. Dịch vụ răng sứ cao cấp tại Nha khoa Adent

Tại Nha khoa Adent, luôn đặt chất lượng và độ an toàn của khách hàng lên hàng đầu. Thay vì sử dụng phủ sứ nano, chúng tôi luôn hướng đến các dịch vụ răng sứ thẩm mỹ cao cấp và bền lâu hơn, đặc biệt là dán sứ Veneer.

Phủ Răng Sứ Nano Là Gì Có Nên Lựa Chọn Không
Phủ Răng Sứ Nano Là Gì Có Nên Lựa Chọn Không
Cam kết từ Nha khoa Adent:
  • Sử dụng vật liệu sứ nhập khẩu chính hãng, có giấy tờ kiểm định rõ ràng.
  • Chính sách bảo hành minh bạch, luôn hỗ trợ khách hàng phát sinh vấn đề.
  • Quy trình thực hiện đạt chuẩn, đảm bảo an toàn tuyệt đối.
  • Đội ngũ bác sĩ giàu kinh nghiệm – tay nghề và có chứng chỉ – bằng cấp.
    Phủ Răng Sứ Nano Là Gì Có Nên Lựa Chọn Không
    Phủ Răng Sứ Nano Là Gì Có Nên Lựa Chọn Không
Nếu bạn đang tìm kiếm giải pháp giúp thẩm mỹ răng bền đẹp, lâu dài. Hãy đến ngay với Nha khoa Adent để được tư vấn miễn phí, và lựa chọn phương pháp phù hợp nhất!

🌟 𝐍𝐡𝐚 𝐊𝐡𝐨𝐚 𝐀𝐃𝐄𝐍𝐓 – Gởi Niềm Tin, Trao Nụ Cười 🌟

☎️ Điện thoại: 0931 416 797
📌 Địa chỉ: 854 Tân Kỳ Tân Quý, P.Bình Hưng Hòa, Q.Bình Tân, HCM.
📌 Link GG Maps: https://maps.app.goo.gl/bmQdm89GzGBGfYv58
🕞 Thời gian làm việc: Thứ 2 – Chủ Nhật (8h00 – 20h00)

Liên hệ ngay với Nha khoa Adent để sở hữu nụ cười rạng rỡ và tự tin mỗi ngày!
G

Call: 093 141 6797